Translate this page into:
Vascular Loop-Associated Sudden Sensorineural Hearing Loss and Vertigo
*Corresponding author: Fatih Gök, Department of Audiology, Istanbul Oncology Hospital, Istanbul, Türkiye. fatihgok33@icloud.com
-
Received: ,
Accepted: ,
How to cite this article: Gök F, Akçin H, Gök M, Saf NS. Vascular Loop-Associated Sudden Sensorineural Hearing Loss and Vertigo. Ann Otol Neurotol. 2025;6:e024. doi: 10.25259/AONO_14_2025
Abstract
Sudden sensorineural hearing loss (SSNHL) is an otologic emergency with multifactorial etiology, often posing diagnostic and therapeutic challenges. The vascular loop of the anterior inferior cerebellar artery (AICA) is a rare anatomical variant that may exert pressure on the vestibulocochlear nerve, potentially contributing to SSNHL, tinnitus, and vertigo. The association between SSNHL and vascular loops is increasingly debated in the literature, and its diagnosis and management remain challenging. We present a case of a 42-year-old female patient with unilateral right-sided SSNHL, initially presenting with 36 dB air conduction and 26 dB bone conduction thresholds. The patient underwent a combined medical therapy regimen, including five intratympanic steroid injections, systemic prednisolone, spironolactone + hydrochlorothiazide, lansoprazole, and piracetam. Follow-up audiometry after 2 months demonstrated significant improvement, with 27 dB air conduction and 17 dB bone conduction thresholds. Magnetic resonance imaging revealed a vascular loop of the right AICA extending into the internal auditory canal, clinically significant in the context of the patient’s symptoms. This case highlights the potential role of vascular loops in SSNHL and demonstrates that conservative medical management can achieve substantial hearing recovery. Clinicians should consider both anatomical variants and early aggressive medical therapy when managing SSNHL. Further studies are warranted to clarify the relationship between AICA vascular loops and hearing outcomes.
Keywords
Anterior inferior cerebellar artery (AICA)
Combined therapy
Hearing recovery
Sudden sensorineural hearing loss (SSNHL)
Vascular loop
INTRODUCTION
Sudden sensorineural hearing loss (SSNHL) is defined by a reduction of at least 30 dB across three consecutive frequencies occurring within a 72-hour period, with approximately 90% of cases having no identifiable cause. SSNHL develops in both males and females, at all ages, and exhibits diverse levels of severity.1,2 Spontaneous recovery occurs in approximately 32%–65% of patients; however, many do not achieve full restoration of hearing and continue to suffer from deficits affecting everyday life.3,4
Definitive diagnosis of SSNHL can be challenging and is typically established by ruling out retrocochlear conditions, such as vestibular schwannoma. Diagnostic accuracy is supported by neuroimaging and electrophysiological evaluations. The etiology and pathogenesis of SSNHL remain largely unclear, arising from multiple potential inner ear dysfunctions. Some studies have proposed that viral infections, autoimmune responses, and vascular disturbances may play roles, with vascular compromise regarded as the most probable contributing factor.5–9
Given the potential role of vascular compromise in SSNHL, anatomical variants, particularly vascular loops in the internal auditory canal (IAC), have drawn increasing attention, as they may contribute to related vestibulocochlear symptoms. Jannetta and colleagues first described how a vascular loop of the anterior inferior cerebellar artery (AICA) can exert pressure on the vestibulocochlear nerve, leading to tinnitus, sensorineural hearing loss, and vertigo.10 The diagnosis of a vascular loop is challenging due to its similarity to Meniere’s disease. An ear magnetic resonance imaging (MRI) identifies the AICA extending into the IAC, potentially compressing or closely abutting the vestibulocochlear nerve.Recently, vascular loops of the AICA within the IAC and/or cerebellopontine angle (CPA) have been reported in both asymptomatic and symptomatic individuals, and in rare cases, symptoms such as tinnitus, vertigo, and hearing loss may result from a neurovascular conflict between the AICA and the vestibulocochlear nerve.11 Management of vascular loops includes surgical intervention and medical therapy. This case report highlights the potential role of an AICA vascular loop in SSNHL and discusses the successful management of a patient with this rare condition.
CASE REPORT
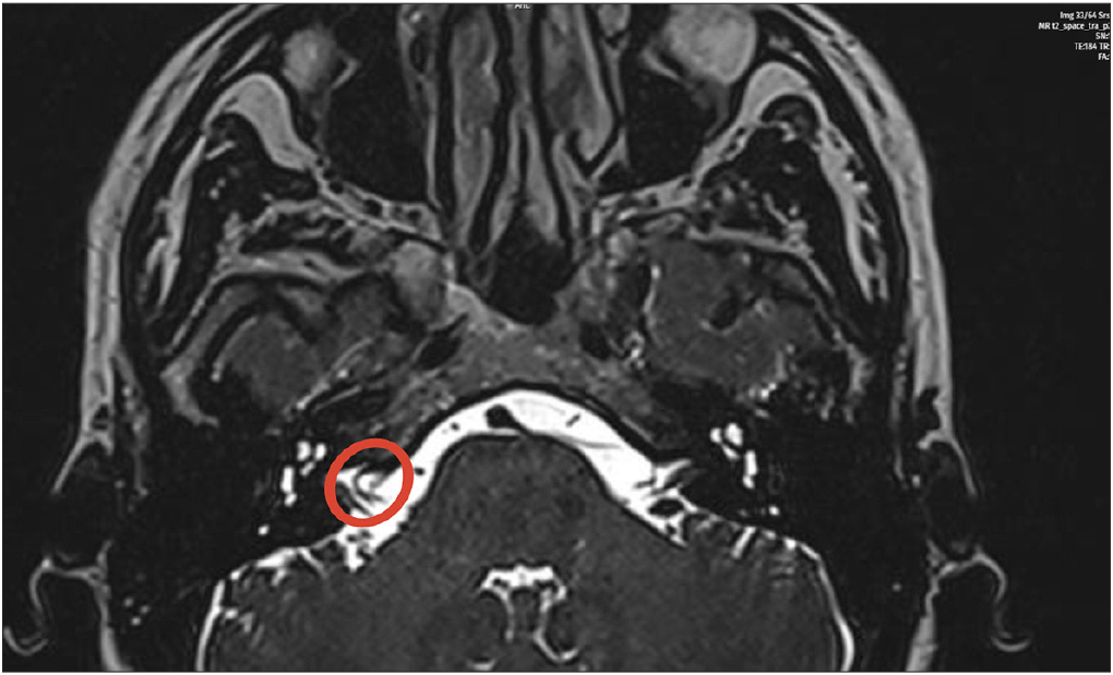
A 42-year-old female presented with acute onset of vertigo, right-sided tinnitus, and sensorineural hearing loss. Audiometric evaluation revealed a 36 dB air conduction loss and a 26 dB bone conduction loss, predominantly affecting the low frequencies [Figure 1]. MRI demonstrated that the right AICA extended into the IAC, consistent with a vascular loop [Figure 2].

- Pre-treatment audiological evaluation. SAG: Right, SOL: Left, SRT: Speech reception threshold, MCL: Most comfortable loudness, UCL: Uncomfortable loudness level, dB: Decibel.

- Radiological examination demonstrated that the right AICA extends into the IAC, and the findings are significant for a vascular loop (red circle). AICA: Anterior inferior cerebellar artery, IAC: Internal auditory canal.
Based on the patient’s audiological findings [Figure 1] and MRI results [Figure 2], and the complaints of tinnitus, vertigo, and SSNHL attributed to a vascular loop, we started with a combined medical therapy regimen. This included five intratympanic steroid injections (dexamethasone) and systemic prednisolone at a dosage of 48 mg/day for 18 days. To prevent potential gastric side effects of corticosteroid therapy, lansoprazole 40 mg once daily was administered for 1 month. For vertigo management, the patient received spironolactone + hydrochlorothiazide once daily for 1 month, and to support neural conduction, piracetam once daily for 1 month was prescribed.
Following five intratympanic steroid injections, the patient underwent a follow-up audiological evaluation, which demonstrated improvement in both hearing loss and tinnitus. Although full recovery was not achieved, her pre-treatment air conduction threshold improved from 36 dB to 27 dB and her bone conduction threshold improved from 26 dB to 17 dB. Additionally, the patient showed a significant 10 dB improvement in the Speech Recognition Threshold test. The patient’s follow-up audiogram is shown in [Figure 3].

- 2 months after the treatment, audiological evaluation. ISO: International organization for standardization, SOL: Left, SAG: Right, SRT: Speech reception threshold, MLC: Most comfortable loudness.
DISCUSSION
We presented a case of a 42-year-old female with sudden unilateral sensorineural hearing loss, tinnitus, and vertigo, in whom MRI revealed an AICA vascular loop extending into the IAC. The possible association between vascular loops and SSNHL remains controversial in the literature. Some authors suggest that neurovascular compression of the vestibulocochlear nerve may contribute to hearing loss and vestibular symptoms, while others argue that vascular loops can also be incidental findings without clinical relevance.12
Our patient demonstrated partial recovery of hearing thresholds following a combined regimen of intratympanic and systemic steroids. This clinical improvement may support the hypothesis that neurovascular compression could lead to transient ischemia and edema of the cochlear nerve, which may be partially reversible with anti-inflammatory therapy. Similar associations have been described in previous reports, where AICA vascular loops have been implicated in SSNHL, tinnitus, or vertigo through mechanisms of nerve compression and vascular insufficiency.13,14 Furthermore, case studies have shown that microvascular decompression in select patients with persistent symptoms may result in complete resolution, further supporting a causal link between vascular loops and audiovestibular dysfunction.15
On the other hand, several studies have reported no significant correlation between the presence of vascular loops and audiovestibular symptoms. For example, Gorrie et al. demonstrated that vascular loops within the CPA are frequently found in asymptomatic individuals, suggesting that their presence may often be incidental.16 In our case, the improvement following systemic and intratympanic steroid therapy could alternatively be explained by the established effectiveness of corticosteroids in idiopathic SSNHL, independent of vascular anatomy.17 Therefore, it is equally plausible that the recovery observed in our patient resulted from the pharmacologic effects of steroids rather than direct alleviation of neurovascular compression.
CONCLUSION
In conclusion, while medical therapy may not always achieve full recovery in vascular loop–associated SSNHL, it can still yield clinically meaningful improvements in hearing and speech recognition. Future research with larger case series is essential to validate these findings and strengthen the evidence base in the literature.
Ethical approval
Institutional Review Board approval is not required.
Declaration of patient consent
The authors certify that they have obtained all appropriate patient consent.
Financial support and sponsorship
Nil.
Conflicts of interest
There are no conflicts of interest.
Use of artificial intelligence (AI)-assisted technology for manuscript preparation
The authors confirm that they have used artificial intelligence (AI)-assisted technology to assist in the writing and grammatical editing of the manuscript, but not for image creation.
REFERENCES
- Importance of Small Vessel Disease as A Possible Cause of Sudden Sensorineural Hearing Loss. PLoS One. 2024;19:e0302447.
- [CrossRef] [PubMed] [PubMed Central] [Google Scholar]
- Sudden Sensorineural Hearing Loss: An Updated Review Open Access. Am J Otolaryngol Head Neck Surg. 2019;2:1056.
- [Google Scholar]
- Comparison of Recovery Rates of Sudden Sensorineural Hearing Loss by Age Group. J Clin Med. 2024;13:4937.
- [CrossRef] [PubMed] [PubMed Central] [Google Scholar]
- A protocol for a Network Meta-Analysis of Interventions to Treat Patients with Sudden Sensorineural Hearing Loss. Syst Rev. 2018;7:74.
- [CrossRef] [PubMed] [PubMed Central] [Google Scholar]
- Idiopathic Sudden Sensorineural Hearing Loss: A review Focused on the Contribution of Vascular Pathologies. Auris Nasus Larynx. 2024;51:747-54.
- [CrossRef] [PubMed] [Google Scholar]
- Sudden Sensorineural Hearing Loss in Patients with Vestibular Schwannoma. Sci Rep. 2021;11:1624.
- [CrossRef] [PubMed] [PubMed Central] [Google Scholar]
- Viral Causes of Hearing Loss: A Review for Hearing Health Professionals. Trends Hear. 2014;18:2331216514541361.
- [CrossRef] [PubMed] [PubMed Central] [Google Scholar]
- Autoimmunity in Sudden Sensorineural Hearing Loss: Possible Role of Anti-endothelial Cell Autoantibodies. Acta Otolaryngol. 2002;122:30-3.
- [CrossRef] [PubMed] [Google Scholar]
- Vascular Loop of Anterior Inferior Cerebellar Artery Causing Disabling Tinnitus, Vertigo, and Hearing Loss - A Review. Matrix Science Medica. 2022;6:29-33.
- [CrossRef] [Google Scholar]
- Vascular Loop of the Anterior Inferior Cerebellar Artery (AICA) as a Cause of Sensorineural Hearing Loss (SNHL): A Case Report. Cureus. 2023;15:e42838.
- [CrossRef] [Google Scholar]
- The Impact of Vascular Loops in the Cerebellopontine Angle on Audio-Vestibular Symptoms: A Systematic Review. Audiol Neurotol. 2022;27:200-7.
- [CrossRef] [PubMed] [Google Scholar]
- Vascular Loops at the Cerebellopontine Angle: Is There a Correlation with Tinnitus? Am J Neuroradiol. 2008;29:1746-9.
- [CrossRef] [PubMed] [PubMed Central] [Google Scholar]
- Neurovascular Cross-Compression in Patients with Hyperactive Dysfunction Symptoms of the Eighth Cranial Nerve. Surg Forum. 1975;26:467-9.
- [Google Scholar]
- Clinical-Radiological Correlation of the Vascular Loop of the Cerebellopontine Angle. Radiologia. 2022;64:407-14.
- [Google Scholar]
- Is There a Correlation Between Vascular Loops in the Cerebellopontine Angle and Unexplained Unilateral Hearing Loss? Otol Neurotol. 2010;31:48-52.
- [CrossRef] [PubMed] [Google Scholar]
- Clinical Practice Guideline. Otolaryngol Head Neck Surg. 2012;146:S1-35.
- [CrossRef] [PubMed] [Google Scholar]
